متن كامل خبر
تولید سلول بنیادی از پوست، موفقیت جدیدی در به‌کارگیری سلول بنیادی

تاريخ خبر : 30/8/1386امتياز بده :ارسال به دوستتعدادمشاهده : 903

- موفقیت جدید در تولید سلو‌ل‌های بنیادی از سلول‌های بافت پوست می‌تواند به تحول و افزایش تحقیقات در این رشته منجر شود

تولید سلول بنیادی از پوست

موفقیت جدیدی در به‌کارگیری سلول بنیادی

موفقیت جدید در تولید سلو‌ل‌های بنیادی از سلول‌های بافت پوست می‌تواند به تحول و افزایش تحقیقات در این رشته منجر شود

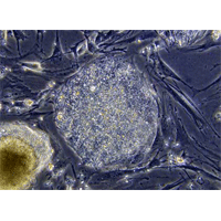
دانشمندان  آزمایشگاه UW-Madison با اعمال تغییرهای ژنتیکی موفق به تغییر مسیر نموی سلول‌های پوست و تولید سلول بنیادی (پلی‌پوتنت) از آن‌ها شدند. این موفقیت می‌تواند بسیاری از انتقادها را - که در سر راه استفاده از سلول بنیادی است - رفع کند.

به‌گزارش سایت«ساینس ‌دیلی» (Science Daily)، موفقیت جدید در تولید سلو‌ل‌های بنیادی از سلول‌های بافت پوست می‌تواند به تحول و افزایش تحقیقات در این رشته منجر شود.

این تحقیق توسط جیمز تامسون زیست‌شناس آزمایشگاه UW-Madison - کسی که برای اولین بار در 1998 از جنین انسان سلول بنیادی بدست آورد- هدایت شده است.

برای تولید سلول بنیادی لازم است که از جنین سلول استخراج شود که این مسأله منجر به از بین رفتن جنین می‌شد. هم‌چنین مجامع حقوق زنان مخالف به‌کارگیری تخمک زنان در کلنیک بودند.

این گزارش می‌افزاید: استفاده از روش جدید راه حلی را برای پاسخ این انتقادها ارائه داده و راهی را برای تحقیقات بیش‌تر و آزادانه‌تر در اختیار دانشمندان قرار می‌دهد. 

       

دبیر المپیاد زیست‌شناسی

سلول‌های بنیادی یا Stem Cell به سلول‌های چند پتانسیلی مغز استخوان گفته می‌شود که توانایی تبدیل به انواع سلول‌های خونی را دارند. توانایی تبدیل این سلول‌ها به انواع سلول‌های خونی، توجه دانشمندان و پژوهشگران را به طرف تبدیل این سلول‌ها به سایر سلول‌های تخصص یافته‌ی بافت‌های دیگر معطوف داشت.

پیشرفت مطالعات نشان داد که در کلیه‌ی بافت‌های بدن نوعی از سلول‌های بنیادی یافت می‌شود که توانایی تبدیل به سلول‌های تخصص یافته‌ی همان بافت را دارند و در موقع اختلال بافتی، دست به‌کار شده و تکثیر پیدا می‌کنند و به دلیل داشتن همین توانایی به آن‌ها «سلول بنیادی» می‌گویند.

 

 

 

 

 

 


     منبع خبر : سرويس فعالیت‌های علمی رشد

بازگشت