متن كامل خبر
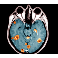
کشف اسرار ژنتیکی سرطان مغز

تاريخ خبر : 21/6/1387امتياز بده :ارسال به دوستتعدادمشاهده : 736

  سرطان بیماری بسیار پیچیده‌ای است خیلی پیچیده‌تر از آن‌که ما معتقد هستیم و کشف راه‌های درمان آن، کار ساده‌ای نیست

کشف اسرار ژنتیکی‌‌
سرطان مغز  

 

سرطان بیماری بسیار پیچیده‌ای است خیلی پیچیده‌تر از آن‌که ما معتقد هستیم و کشف راه‌های درمان آن، کار ساده‌ای نیست

متخصصان سرطان به‌تازگی موفق به کشف اسرار ژنتیکی سرطان مغز شده‌اند.

به‌گزارش خبرگزاری دانشجویان ایران (ایسنا) به‌نقل از مجله‌ی «ساینس» (Science)، ‌این متخصصان - که تک‌تک ژن‌ها را در تومورهای دو نوع از صعب‌العلاج‌ترین انواع سرطان‌های مغزی ردیابی و مطالعه کردند - دریافته‌اند که سرطان مغز بسیار پیچیده‌تر از آن است که تصور می‌شود و هم چنین پی‌برده‌اند که چرا پس از رشد تومور احتمال درمان آن تقریباً وجود ندارد.

اما درعین حال این پژوهشگران یک روش جدید بالقوه برای درمان یک نوع شایع و کشنده‌ی سرطان مغز را کشف کرده و با این دستاورد راه را به‌سوی تشخیص سرطان پیش از گسترش آن در بدن هموار کردند.

دکتر «برت ووگلشتین» از دانشگاه «جان هاپکینز» در «بالتیمور» و متخصص انستیتو پزشکی «هووارد هوگز» در این‌باره اظهار داشت: سرطان بیماری بسیار پیچیده‌ای است خیلی پیچیده‌تر از آن‌که ما معتقد هستیم و کشف راه‌های درمان آن، کار ساده‌ای نیست.

این پیچیدگی تا حدی است که برای مثال اگر شما 100 بیمار سرطانی دارید درست مثل این است که با 100 بیماری مختلف مواجه هستید.

به این دلیل استفاده از یک روش درمانی مشخص نمی‌تواند در تمام انواع سرطان‌ها کارایی داشته باشد. چرا که تنها یک ژن جهش‌یافته را هدف قرار می‌دهد. این در حالی است که شمار زیادی از ژن‌ها در بروز سرطان نقش دارند.

در این مطالعه یک تیم بین‌المللی از پژوهشگران بیش از 20 هزار ژن را در سلول‌های 24 بیمار مبتلا به سرطان پیشرفته‌ی پانکراس آزمایش کرده و 63 جهش ژنتیکی را شناسایی کردند.

 

 

 

 

 

 


     منبع خبر : ايسنا

بازگشت